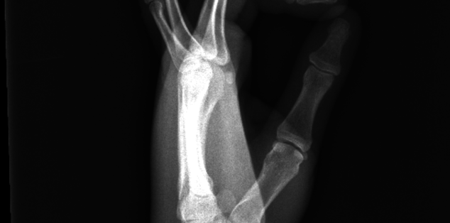
Emily, Fractured 5th Metacarpal
Related Specialties
On March 19 I was about 15 miles in on the 50k race known as HAT. There was a large rock on the trail and I utilized my left hand to attempt to break my fall. I got back up and kept running. The next day I had severe pain and increased swelling. I went to morning breakfast with my running club and the foot doctor told me to get it x-rayed. I went to a prompt care in DE and x-ray revealed a spiral fracture of the 5th metacarpal on my left hand. I was devastated and in shock. I'm an ultra runner and for me being told by that doctor that I couldn't run my upcoming race was like being told you can't breathe.
They gave me referrals to local Delaware ortho hand surgeons. Being a nurse and recently graduated FNP student from the University of Delaware my hands are a vital part of my career. As a former research fellow at UD I went online to find an ortho organization that was cutting edge and would give me the best chance at continuing to work as a nurse and training. I contacted Rothman ortho and received an appointment for the next day.
As a former ER nurse I know the process of registration can be exhausting and annoying. Not the case with Rothman. It was fast, easy and the staff were gracious. As a nurse myself sometimes we are more critical of healthcare institutions. Rothman met and surpassed my expectations. Efficient care on all accounts. Nurses were fantastic. My hand surgeon Dr. B, I felt that he truly listened to what I had to say and met my accommodations. He gave me the news of only restriction being not to bear weight and to follow up in four weeks. I was worried about my training and he helped me set up frequent cast changes. No other ortho doc in my experience as an ED nurse has ever went that extra mile for a patient.
The very next day I was able to run with one of my running groups. RWB, that supports active and veterans in the military. I had minimal pain before and after the run. I felt fantastic. That week and weekend I was able to return to my job taking care of patients as a nurse. Using my recommended restrictions from ortho, but still making a difference in my patient's lives. I am currently in process of training for my next race, the North Face 50 miler. Rothman helped me to continue my training, job, and process of studying to take my board exam to practice as a FNP. I thought this injury was going to sideline me from being able to function, but it has actually helped teach me how face obstacles and learn to over come them. I hope my story can help others.
Gallery
Expand Image
Expand Image
Expand Image
Expand Image
Expand Image
Expand Image
Expand Image
Expand Image
Expand Image
Expand Image
Expand Image
Expand Image
Expand Image
Expand Image
Expand Image
Expand Image
Expand Image
Expand Image
Expand Image
Expand Image
Expand Image
Expand Image
Expand Image
Expand Image
Expand Image
Expand Image
Expand Image
Expand Image
Expand Image
Expand Image
Expand Image
Expand Image
Expand Image
Related Physicians
- All Specialties
- Hip
- Knee
- Spine
- Sports Medicine
- Shoulder & Elbow
- Foot & Ankle
- Hand & Wrist
- Physical Medicine & Rehabilitation
- Orthopaedic Oncology
- Orthopaedic Trauma & Fracture Care
- General Orthopaedics
Physician Language
- All Languages
- English
- Persian
- Spanish
- Italian
- Chinese
- German
- Tamil
- Turkish
- Taiwanese
- Mandarin
- Hindi
- Punjabi
- Korean
- Gujarati
- Arabic
- Telugu
- Vietnamese
- Swedish
Filter Physicians
Search
Specialties
- All Specialties
- Hip
- Knee
- Spine
- Sports Medicine
- Shoulder & Elbow
- Foot & Ankle
- Hand & Wrist
- Physical Medicine & Rehabilitation
- Orthopaedic Oncology
- Orthopaedic Trauma & Fracture Care
- General Orthopaedics
Physician Language
- All Languages
- English
- Persian
- Spanish
- Italian
- Chinese
- German
- Tamil
- Turkish
- Taiwanese
- Mandarin
- Hindi
- Punjabi
- Korean
- Gujarati
- Arabic
- Telugu
- Vietnamese
- Swedish
Please select your region to view available physicians.
Select Your Region- All Locations
- {{item.title}} {{distanceText(item)}}
Sort
Related Conditions
Related Treatments
Do you have a great Rothman Story?
Share Your StoryJoin the Rothman Orthopaedics E-Mail List
Stay informed about the latest orthopedic specialties, news and upcoming events
Sign-Up